Launched in September 2023, the TAVR program has already helped numerous patients in the area. By offering this leading-edge procedure, CHRISTUS Santa Rosa Hospital in New Braunfels is helping to ensure that patients with severe aortic valve stenosis have access to the care they need, right in their own community.
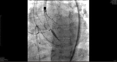
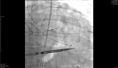
This minimally invasive procedure involves replacing a damaged aortic valve with a new one through a small incision in the groin, in most cases.
“When the aortic valve becomes very tight and doesn't open well, people experience being tired all the time, they have decreased energy, decreased exercise capacity, shortness of breath, chest pain, and then, more dangerously, may pass out,” Dr. Hyde said. “Most of the time, the diagnosis is suspected by symptoms and a loud murmur, but confirmation is made by an echocardiogram. The TAVR itself is where we go in the patient's groin, into the blood vessel and deploy a new valve inside their old valve that pushes the tight, stenotic valve out of the way, and then the new valve takes over.”
“Everyone goes home the next day, almost always, and the recovery period is just two to five days,” Dr. Hyde said.
The TAVR program at CHRISTUS Santa Rosa has achieved impressive results in its first year of operation. Patients who have undergone the procedure have experienced significant improvements in their quality of life, with many returning to their normal activities within a short period.
“The advantage of our program is that we're able to reach a patient population who, one - are elderly, two - have a lot of comorbidities, and three - might have even been turned down for traditional surgical aortic valve replacement through open heart surgery,” nurse practitioner Julie Roat said.
Another standout feature of the TAVR program at CHRISTUS Santa Rosa Hospital – New Braunfels is its personalized and boutique approach to patient care. Unlike larger, high-volume centers, the hospital focuses on providing individualized attention to each patient. This allows for more efficient decision-making and faster access to treatment.
“We focus on reaching out to the patient as soon as possible when they are referred to our office, and then we immediately initiate an appointment and work on getting pre-operative testing,” Roat said. “We also make sure that there is an education session with the patient, because having valvular heart disease is scary. It's unknown. It can be life threatening. And so we make sure that the patients are educated on what the procedure is, what they can expect, the care that they expect to receive, and we walk them through the entire process.”
CHRISTUS Santa Rosa Hospital in New Braunfels is committed to providing the highest quality health care to the residents of New Braunfels and the surrounding areas. The TAVR program is just one example of the hospital's dedication to improving the lives of its patients.
“With a strong dedication to teamwork, we’re committed to providing advanced, comprehensive and compassionate care,” hospital President Genifer Rucker said. “The TAVR program enables us to offer innovative life-saving treatment, significantly enhancing patients’ well-being.”
To learn more about CHRISTUS Santa Rosa Hospital in New Braunfels or its TAVR program, visit the hospital’s website.
The above story was produced by Multi Platform Journalist Mary Katherine Shapiro with Community Impact's Storytelling team with information solely provided by the local business as part of their "sponsored content" purchase through our advertising team.

 
			 
                    
 
											 
					 
					 
					 
                